5to. dedo varo
movie

Released January 01, 1959
Genres:
Overview
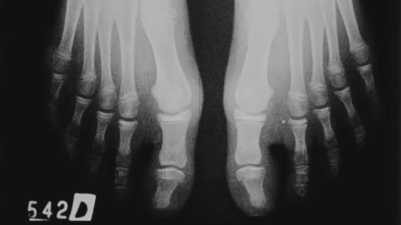
Documentary about a surgical incision to a varus finger.
Runtime
0h 16m
Origin Country
Argentina
Original Language
Spanish
Original Title
5to. dedo varo
Status
Released
Production Countries
- Argentina
Spoken Languages
- Español (Spanish)
Production Companies
- no logo available
Instituto de Cinematografía de la Universidad Nacional del Litoral
Argentina
Cast
no credits available...
See All Credits
